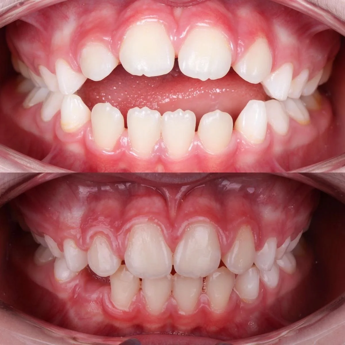
¿Notas un espacio al cerrar la boca? Podría ser mordida abierta, y esto es lo que debes saber

La mordida abierta es uno de esos problemas dentales que muchas personas notan, pero pocas comprenden. Puede parecer algo menor al principio: un pequeño espacio entre los dientes al cerrar la boca, cierta dificultad al morder ciertos alimentos o un sonido extraño al hablar. Sin embargo, detrás de estos síntomas puede haber un trastorno de alineación más complejo que afecta tanto la función como la estética de la boca.

En este blog, te contamos en profundidad qué es la mordida abierta, por qué ocurre, cómo afecta a tu salud bucal y qué opciones existen para corregirla, tanto en niños como en adultos.

¿Qué es exactamente una mordida abierta?

La mordida abierta es una maloclusión dental en la que los dientes superiores e inferiores no logran hacer contacto cuando la mandíbula está en reposo. Es decir, al cerrar la boca, queda un espacio visible —generalmente entre los dientes frontales— que no debería existir. Este desajuste puede ser anterior (en la parte frontal) o posterior (en los molares), y en ambos casos, puede dificultar funciones básicas como masticar, hablar o incluso respirar correctamente.

Aunque suele ser más visible en la infancia, también puede persistir o desarrollarse en la edad adulta si no se trata a tiempo.

¿Por qué ocurre la mordida abierta?

Hay múltiples causas que pueden provocar este tipo de maloclusión, y muchas veces se combinan entre sí. Una de las más frecuentes es el mantenimiento prolongado de hábitos orales como el uso del chupete, la succión del pulgar o el empuje de la lengua al tragar o hablar. Estos hábitos, si se mantienen más allá de los 3 o 4 años de edad, pueden alterar el desarrollo normal de los huesos maxilares y la posición de los dientes.

En otros casos, la mordida abierta tiene un origen esquelético, heredado genéticamente. Esto quiere decir que los huesos del maxilar superior y la mandíbula inferior no crecen de forma armónica, generando una discrepancia en su alineación. También pueden influir factores respiratorios, como la respiración bucal crónica, que a su vez puede estar relacionada con alergias, amígdalas inflamadas o desviaciones del tabique nasal.

¿Qué consecuencias tiene si no se trata?

Muchas personas con mordida abierta experimentan dificultades al masticar correctamente los alimentos, ya que los dientes no logran hacer el contacto necesario para triturarlos. En algunos casos, se desarrollan compensaciones musculares que pueden llevar a molestias en la articulación temporomandibular (ATM), dolores de cabeza o tensión facial.

Otra consecuencia importante —y no menor— es el impacto en el habla. Las personas con mordida abierta pueden presentar dificultades para pronunciar ciertos sonidos, especialmente los silbantes como la "s" o la "z", generando un ceceo involuntario. Esto puede afectar la autoestima, en especial durante la infancia o la adolescencia.

Desde el punto de vista estético, la mordida abierta puede hacer que los labios no se cierren de forma natural, dando una apariencia de boca entreabierta o sonrisa desequilibrada, lo que también puede impactar emocionalmente al paciente.

¿Cómo se trata la mordida abierta?

La buena noticia es que, en la mayoría de los casos, la mordida abierta sí tiene solución. El tipo de tratamiento dependerá de la causa, la edad del paciente y la severidad del caso.

En niños, la detección temprana es clave. Cuando la mordida abierta está causada por hábitos orales, trabajar con un odontopediatra y en algunos casos con un terapeuta miofuncional puede ser suficiente para corregir el problema. A veces, se utilizan aparatos ortodóncicos funcionales que guían el desarrollo de los huesos y corrigen la mordida antes de que se complique.

En adolescentes y adultos, la ortodoncia juega un papel fundamental. Los brackets tradicionales o los alineadores transparentes pueden reposicionar los dientes y, en ciertos casos, mejorar la relación ósea. Sin embargo, si la mordida abierta tiene un componente esquelético severo, puede ser necesario recurrir a una cirugía ortognática, que permite corregir la alineación de los huesos maxilares. Esta cirugía, combinada con ortodoncia, puede ofrecer resultados funcionales y estéticos excelentes.

La importancia del diagnóstico temprano

Muchas familias no consultan hasta que la mordida abierta ya está muy avanzada. Lo ideal es acudir al ortodoncista ante cualquier señal de maloclusión, incluso si el niño aún tiene dientes de leche. Un diagnóstico precoz permite aplicar tratamientos interceptivos que evitan procedimientos más complejos en el futuro.

Además, si hay hábitos orales persistentes, es fundamental intervenir a tiempo, ya que mientras el crecimiento óseo no ha terminado, aún hay margen para corregirlo sin recurrir a métodos invasivos.

¿Deberías preocuparte?

Si tú o tu hijo presentan signos como separación visible entre los dientes al cerrar la boca, dificultad para masticar o pronunciar ciertas palabras, respiración bucal o uso prolongado del chupete o el dedo, lo mejor es consultar a un profesional. La mordida abierta no siempre duele, pero sí puede tener efectos duraderos si no se trata adecuadamente.

En nuestro consultorio estamos preparados para evaluar cada caso de manera personalizada y encontrar la mejor solución para devolverle a tu sonrisa toda su funcionalidad y estética.

¿Tienes dudas o quieres saber si necesitas tratamiento? Agenda tu valoración con nosotros y da el primer paso hacia una sonrisa saludable y bien alineada.