Importancia del uso de hilo dental: ¿Cómo debemos utilizarlo correctamente?

En Odontologic creemos que una sonrisa saludable no depende únicamente del cepillado. Aunque muchas personas consideran que lavarse los dientes es suficiente, lo cierto es que el cepillo no logra limpiar completamente los espacios entre los dientes. Por eso, el uso del hilo dental es un paso fundamental dentro de una rutina de higiene oral adecuada.

¿Por qué es importante usar hilo dental?

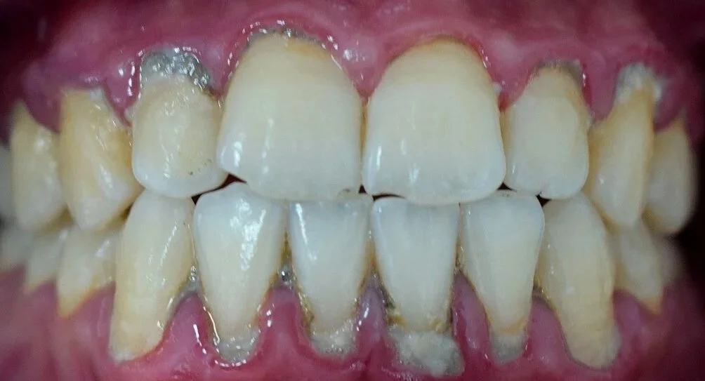
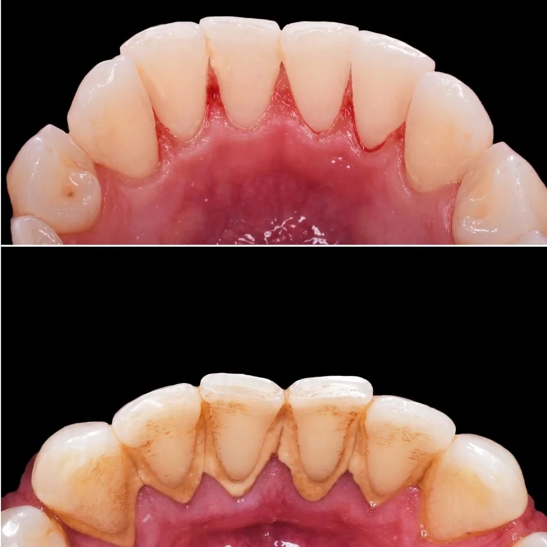
El cepillado elimina gran parte de la placa bacteriana, pero no alcanza los espacios interdentales. En estas zonas se acumulan restos de comida y bacterias que, con el tiempo, pueden provocar caries entre los dientes, inflamación de las encías (gingivitis), mal aliento y, en casos más avanzados, enfermedad periodontal.

Cuando la placa no se retira correctamente, se endurece y se convierte en sarro. Este solo puede eliminarse mediante una limpieza profesional. Incorporar el hilo dental en la rutina diaria reduce significativamente el riesgo de desarrollar estos problemas y ayuda a mantener encías sanas.

¿Cómo debemos utilizar el hilo dental?

El uso correcto del hilo dental es sencillo, pero debe realizarse con cuidado. Se recomienda cortar aproximadamente 40 centímetros de hilo y enrollarlo en los dedos medios, dejando unos centímetros tensos para trabajar.

El hilo debe introducirse suavemente entre los dientes, evitando movimientos bruscos que puedan lastimar la encía. Una vez dentro, se debe rodear el diente formando una especie de “C” y deslizarlo de arriba hacia abajo, asegurándose de limpiar también ligeramente debajo de la línea de la encía. Es importante utilizar una sección limpia de hilo en cada espacio interdental.

Este proceso debe realizarse al menos una vez al día, preferiblemente en la noche, para eliminar los residuos acumulados durante la jornada.

¿Qué sucede si las encías sangran?

Es común que, cuando una persona comienza a usar hilo dental después de mucho tiempo, note un ligero sangrado. Esto suele ser señal de inflamación causada por acumulación de placa. Con el uso constante y una técnica adecuada, el sangrado generalmente disminuye en pocos días. Si persiste, es importante acudir a una valoración profesional.

Prevención: la mejor inversión en tu sonrisa

El hilo dental es un hábito sencillo que toma pocos minutos y puede evitar tratamientos más complejos en el futuro. En Odontologic promovemos la prevención como la base de una salud oral duradera.

Si tienes dudas sobre tu técnica de higiene o deseas una evaluación personalizada, nuestro equipo está listo para acompañarte en el cuidado de tu sonrisa.