¿Qué es la gingivitis?

La gingivitis es una enfermedad periodontal común que se caracteriza por la inflamación de las encías. Es una forma leve de enfermedad de las encías y generalmente es reversible si se trata temprano. La gingivitis es causada principalmente por la acumulación de placa bacteriana en los dientes y las encías debido a una higiene oral deficiente. Algunos de los signos y síntomas comunes de la gingivitis incluyen:

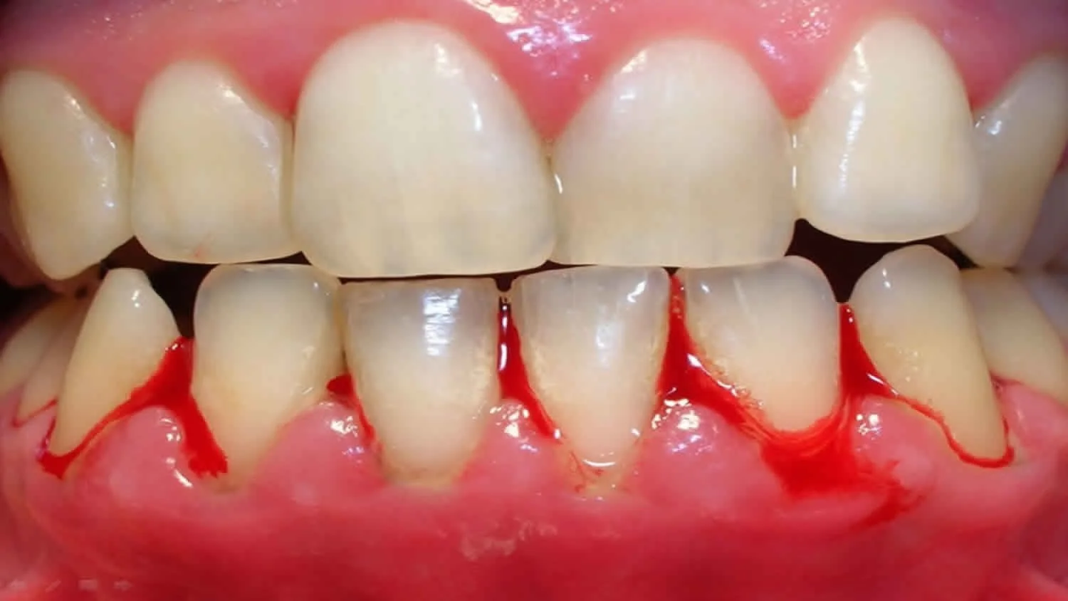
Encías rojas e inflamadas: Las encías afectadas por la gingivitis tienden a enrojecerse y hincharse.

  1. Sangrado de encías: Las encías pueden sangrar fácilmente al cepillarse los dientes o al usar hilo dental.

  2. Mal aliento: La acumulación de placa y las bacterias en las encías pueden causar mal aliento.

  3. Sensibilidad o dolor en las encías: Las encías pueden volverse sensibles y doloridas al tacto o al comer alimentos duros.

  4. Retracción de las encías: En algunos casos, las encías pueden retroceder, exponiendo las raíces de los dientes.

Es importante abordar la gingivitis a tiempo, ya que, si no se trata, puede progresar a una forma más grave de enfermedad de las encías llamada periodontitis. La periodontitis puede causar daño permanente a los tejidos de soporte de los dientes y, en última instancia, llevar a la pérdida dental.

El tratamiento de la gingivitis generalmente implica mejorar la higiene bucal y eliminar la placa acumulada en los dientes y las encías. Esto se logra a través de:

  1. Cepillado dental regular: Es importante cepillar los dientes al menos dos veces al día con un cepillo de cerdas suaves y pasta dental.

  2. Uso de hilo dental: El hilo dental debe usarse diariamente para eliminar la placa y los restos de alimentos entre los dientes y a lo largo de la línea de las encías.

  3. Visitas regulares al dentista: Los chequeos dentales regulares permiten que un profesional de la salud dental evalúe la salud bucal y realice limpiezas profesionales para eliminar la placa y el sarro.

  4. Modificación de la dieta: Reducir el consumo de alimentos ricos en azúcar y seguir una dieta equilibrada puede ayudar a prevenir la acumulación de placa.

Si se trata a tiempo y se mantienen hábitos de higiene bucal adecuados, la gingivitis se puede revertir y las encías pueden volver a su estado de salud normal. Por lo tanto, es importante prestar atención a los signos tempranos de gingivitis y buscar la atención de un dentista si se experimentan síntomas de inflamación o sangrado de las encías.

Si buscas un dentista, puedes agendar una cita con nosotros, ven a tu cita para valoración y tener la mejor sonrisa déjanos tus datos y nosotros te contactamos. También contamos con diversos tratamientos para ti
Recuerda que tenemos 2 sucursales,
Roma Norte y Nápoles